Ортопантомограф PAX-i SC с цефалостатом
- Максимальная точность диагностики и лечения с помощью оптимизацию размеров полей обзора, диапазон которых составляет от 5×5 до 12×9.
- Программное обеспечение, подходящее для каждого направления стоматологии, помогает интерпретировать снимки Ez3d-i с помощью специальных инструментов. Кроме того, Ez3d-i способствует эффективной коммуникации с пациентами.
- Доступны различные варианты сканирования цефа: LAT / FULL LAT, в трех размерах — маленький, средний и большой.
Система панорамной визуализации PaX-i3D предлагает 4 формата, с полем зрения от 5×5 до 12×9. Выбор правильного размера поля зрения позволяет получить максимальную диагностическую ценность, одновременно снижая количество избыточного рентген-излучения для пациентов.


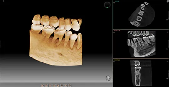
PaX-i3D — для самых точных панорамных снимков
Четкий панорамный снимок обеспечивает более точную диагностику. С его помощью можно рассмотреть увеличенные детали, особенно переднюю часть и корни зубов. Эти снимки высочайшего качества станут новым эталоном панорамной фотографии.
FOV 5×5

Снимки размером 5×5 полезны для диагностики конкретной области с наименьшим рентгеновским облучением пациентов. Это может особенно повысить точность эндодонтической диагностики корневых каналов сложной формы, таких как S-образные, которые трудно обследовать с помощью двухмерной рентгеновской системы.
FOV 8×5
Сканирование позволяет получить более сложные данные о верхней и нежнечелюстной области рта. С его помощью можно составить точный план лечения, учитывающий важные анатомические особенности, такие как нижнечелюстной нерв, ментальный канал и верхнечелюстная пазуха.

FOV 8×8
Увеличение разрешения обеспечивает более полную диагностику, охватывая как верхнечелюстную, так и нижнечелюстную области. Это может быть очень важно при проведении сложных операций по имплантации или диагностике левого и правого ВНЧС.

FOV 12×9
Изображения дают наиболее ценные данные для диагностики полости рта, охватывая все структуры от верхнечелюстной до нижнечелюстной и даже область 3-го моляра за одно сканирование. Режим отлично подходит для большинства челюстно-лицевых операций и даже для случаев, включающих установку нескольких имплантатов.

Magic PAN
Технология собирает суперкачественный панорамный снимок. Это достигается благодаря удалению искаженных и смазанных снимков, которые вызваны неправильным расположением пациента (опционально). Снимок становится более четким, особенно в области резцов и клыков, области ВНЧС и корневого канала.

NORMAL PAN
MAGIC PAN
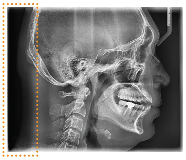
Цефалометрическое сканирование
Позволяет выбрать один из двух размеров изображения: LAT и FULL LAT, в зависимости от диагностических потребностей. LAT представляет превосходные, специализированные снимки для ортодонтических и челюстно-лицевых процедур. FULL LAT дает возможность увеличить изображение на 30% и затылочную область пациента для полной оценки.
LATERAL
FULL LATERAL
OneShot цефалометрия
Технология предлагает три различных размера рентгеновских снимков для снижения нежелательного излучения и дает возможность сканировать оптимальную часть черепа для диагностики и планирования лечения.
